← Return to list of services

Conus Implant Bridge

This is a revolutionary way to restore arches that are missing most or all teeth.

The Conus Implant Bridge is a restorative solution created by Dr. Johansen for patients that are missing all or some of their teeth in either the upper or lower arches. The Conus Implant Bridge is a unique, friction-retained prosthetic that eliminates the problems associated with both cement and screw retained implant bridge work. It retains all of the benefits of a fixed prosthetic with the cleansable aspect of a removable prosthetic. It’s the best of both worlds. It’s more cost effective and conservative than an All on 4 and it’s more versatile and cleansable than a 3 on 6 option.

4 Components to a Conus Implant Bridge

  1. Implant Body (Root / Surgical Post)

  2. Abutment

  3. Gold Retentive Cap

  4. Bridge

 
 
 
 

If you are considering an “All on 4 or All on X” or “3 on 6” treatment to replace your missing teeth, please consider the following:

 

Unique Benefits of the Conus Implant Bridge

  • More conservative than All on 4 or All on X treatment. It is NOT necessary to remove bone in order to hide the transition line which is necessary for All on 4 or All on X treatments.

  • Feels more like natural teeth due to the size and shape compared to a denture or an All on 4 fixed hybrid prosthesis.

  • Easy to clean. Most dental bridgework will get food trapped underneath. When necessary the Conus Implant Bridge can be removed and easily cleaned.

  • More versatile than a 3 on 6 treatment option in cases where there is insufficient bone in areas of the arch. It can also be more cost effective since full arch cases can be restored with as little as 4 implants instead of the 6 implants which are necessary for a 3 on 6 option.

call and schedule a free consultation visit.

 

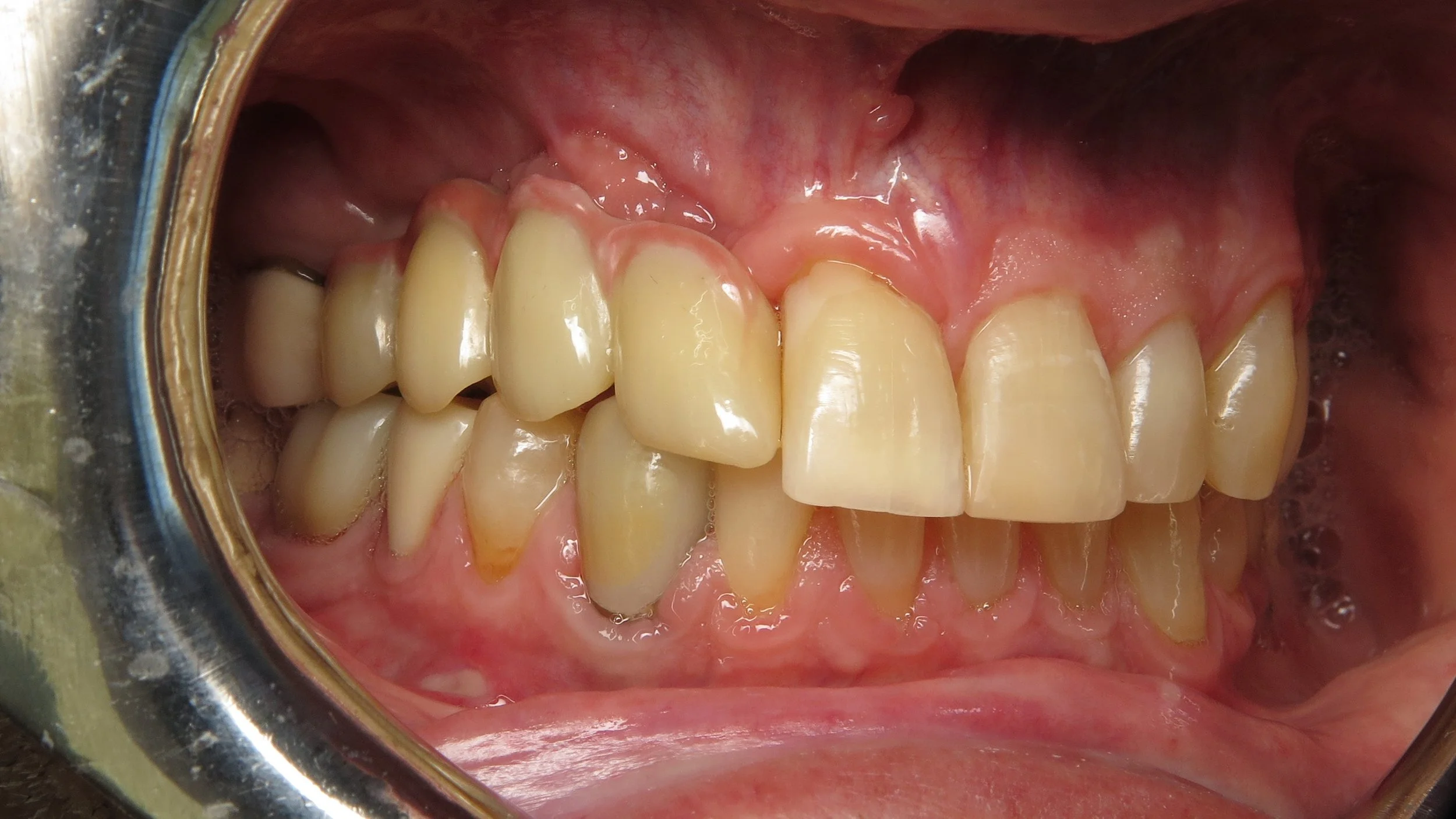
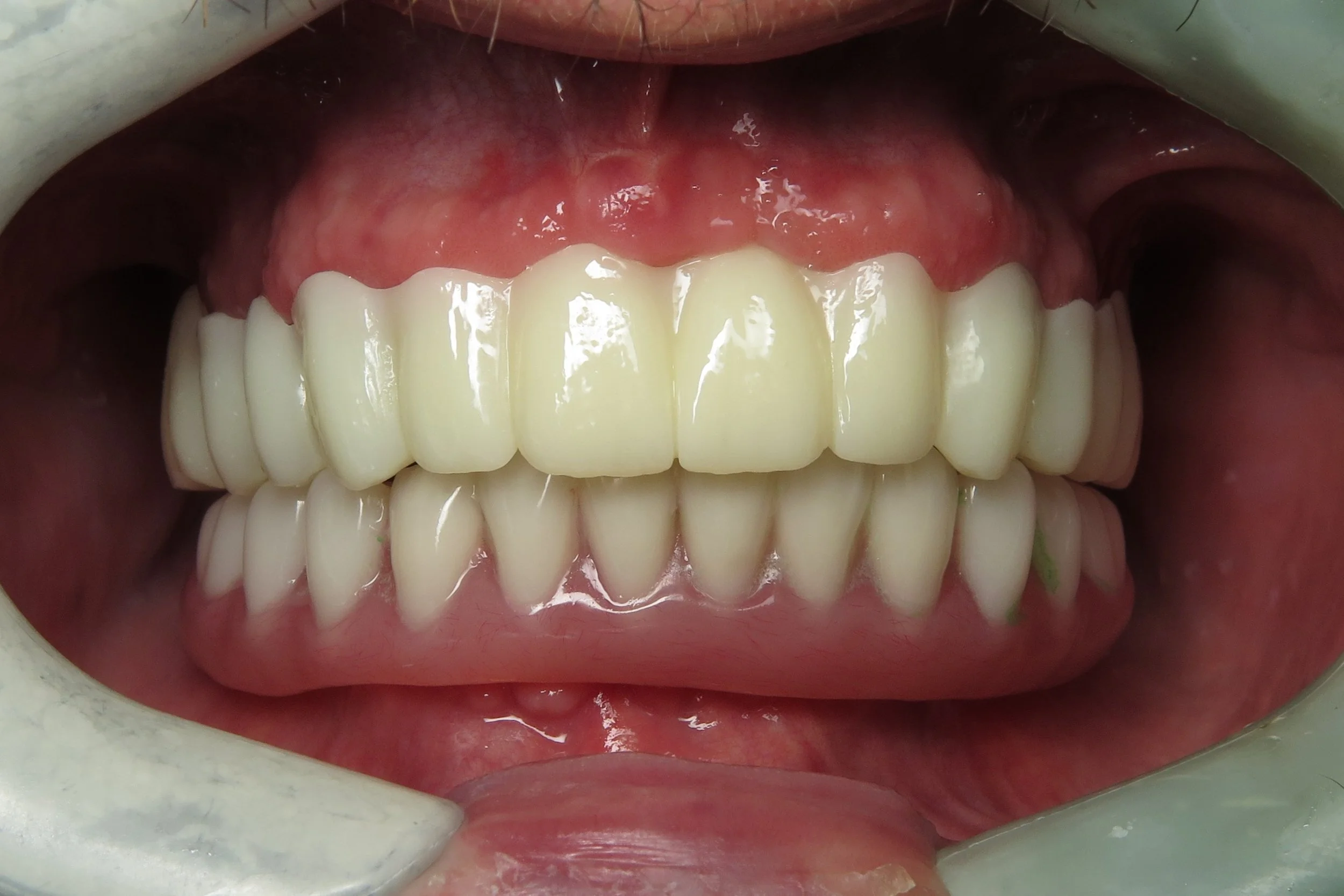
The following cases were done by Dr. Johansen: