← Return to list of services

Composite Veneers

Handcrafted and personalized in the mouth, this minimally invasive treatment option can radically improve the appearance of your front teeth without the need to shave away the enamel.


 
 
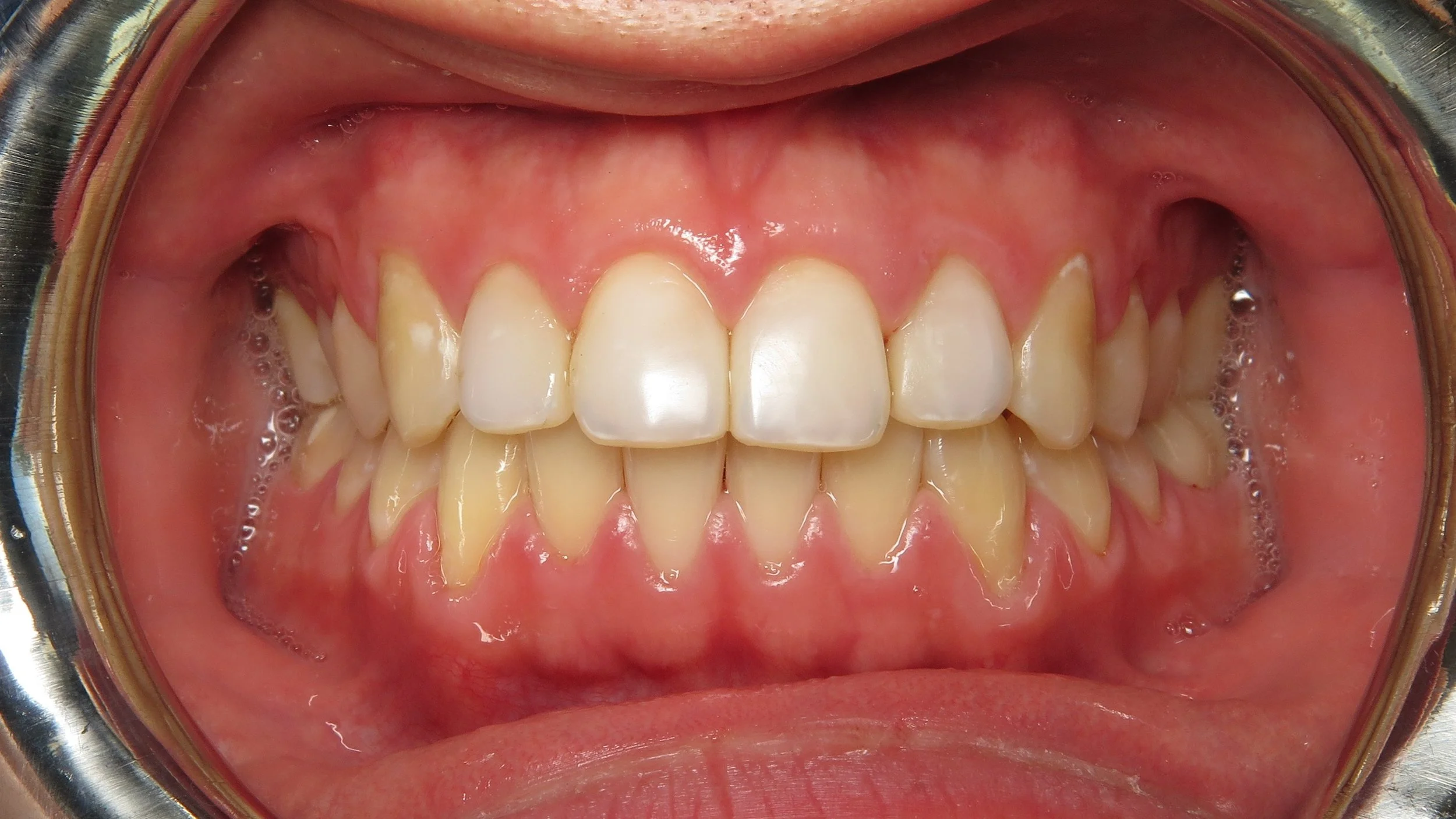
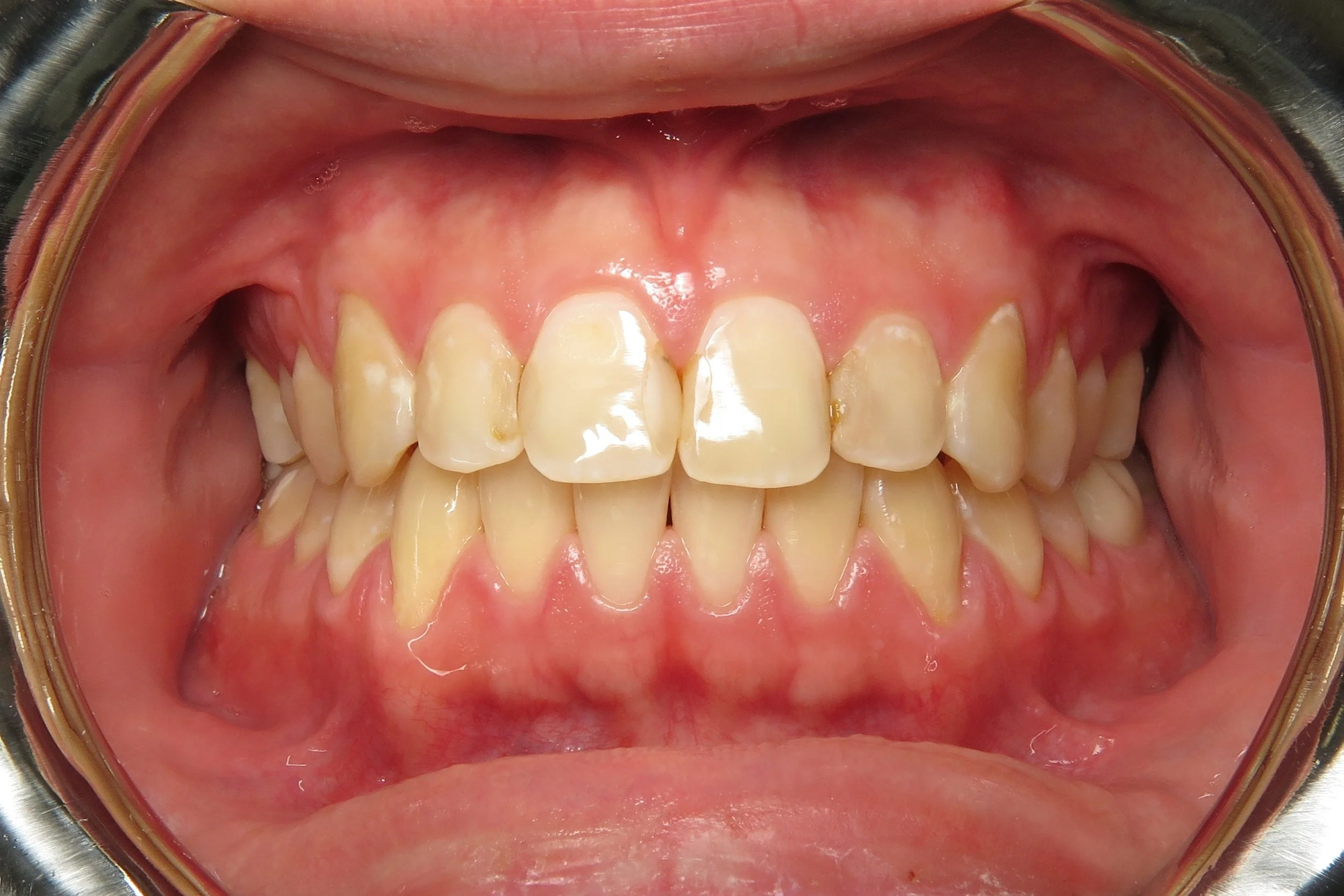
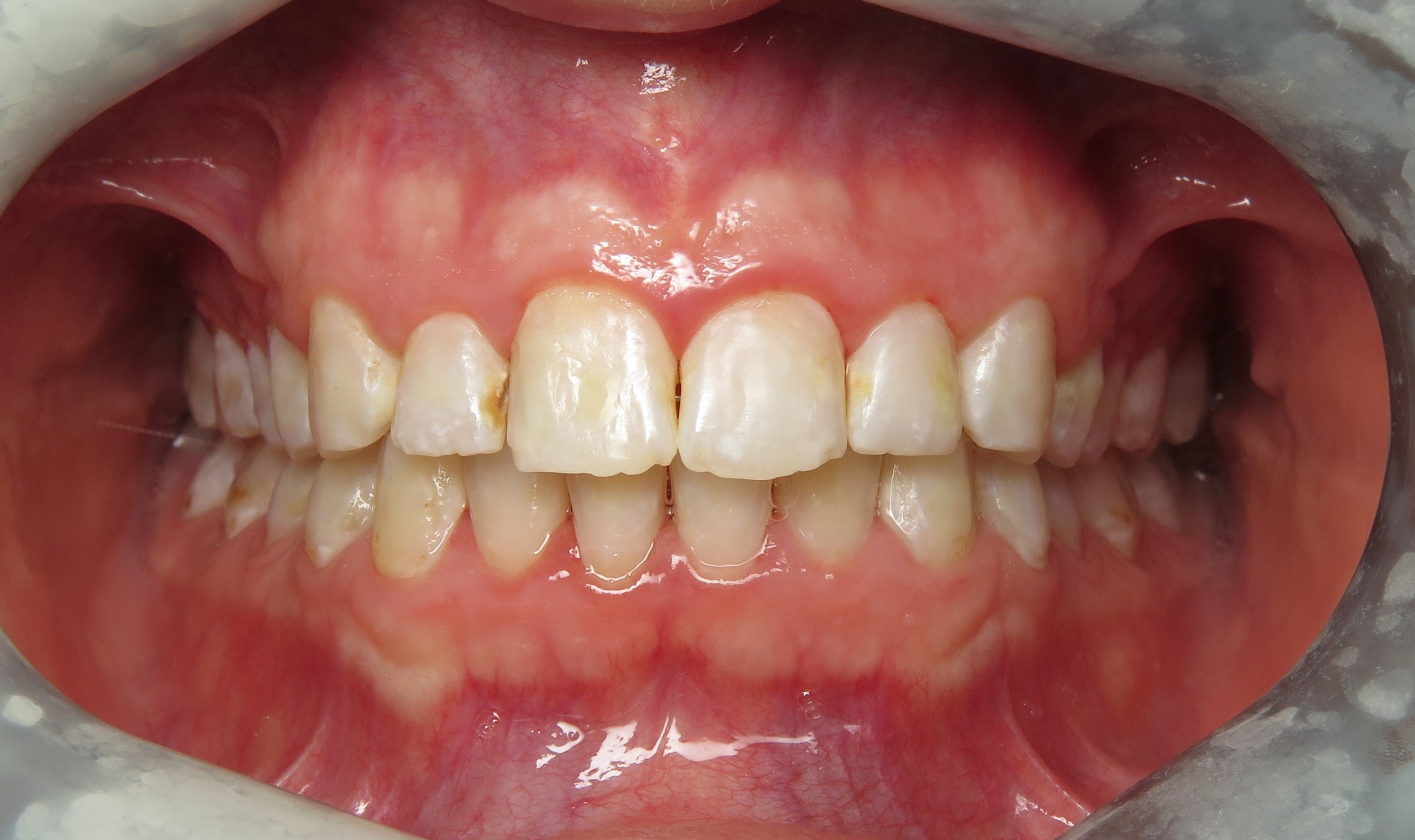
Before:  Gum tissue is too low and restorations are failing.

Before

Gums are too low and restorations are failing.

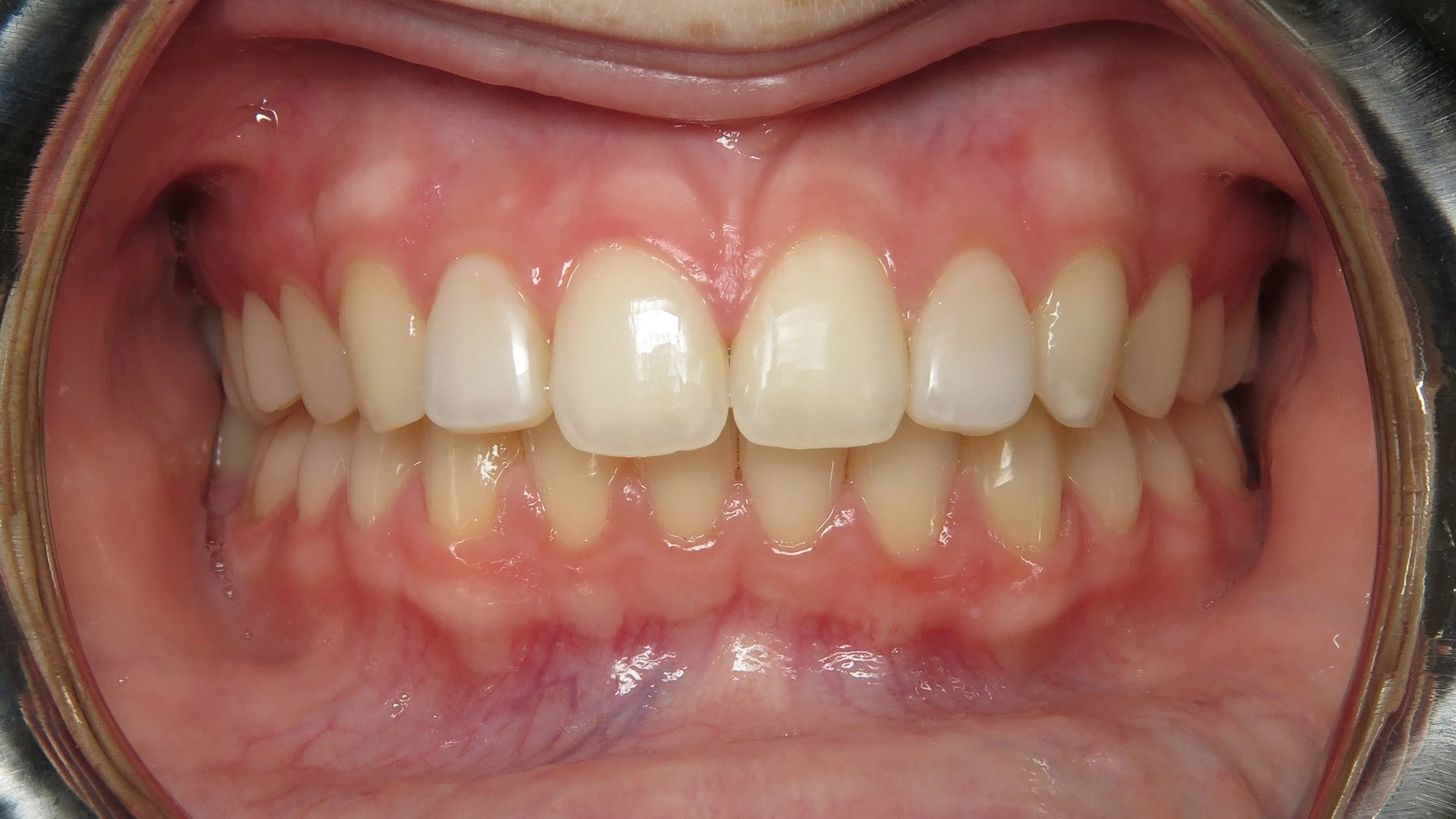
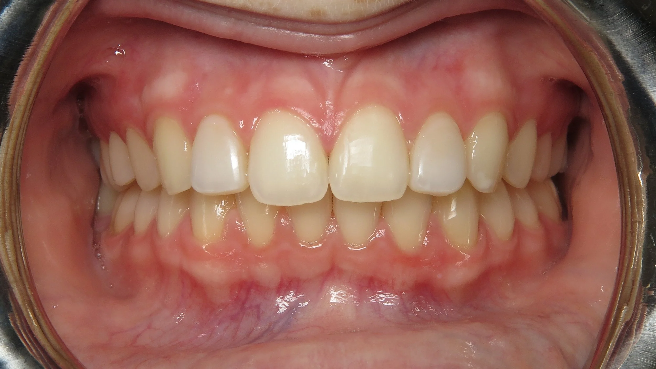
After

Gum surgery to lengthen teeth and composite veneers.

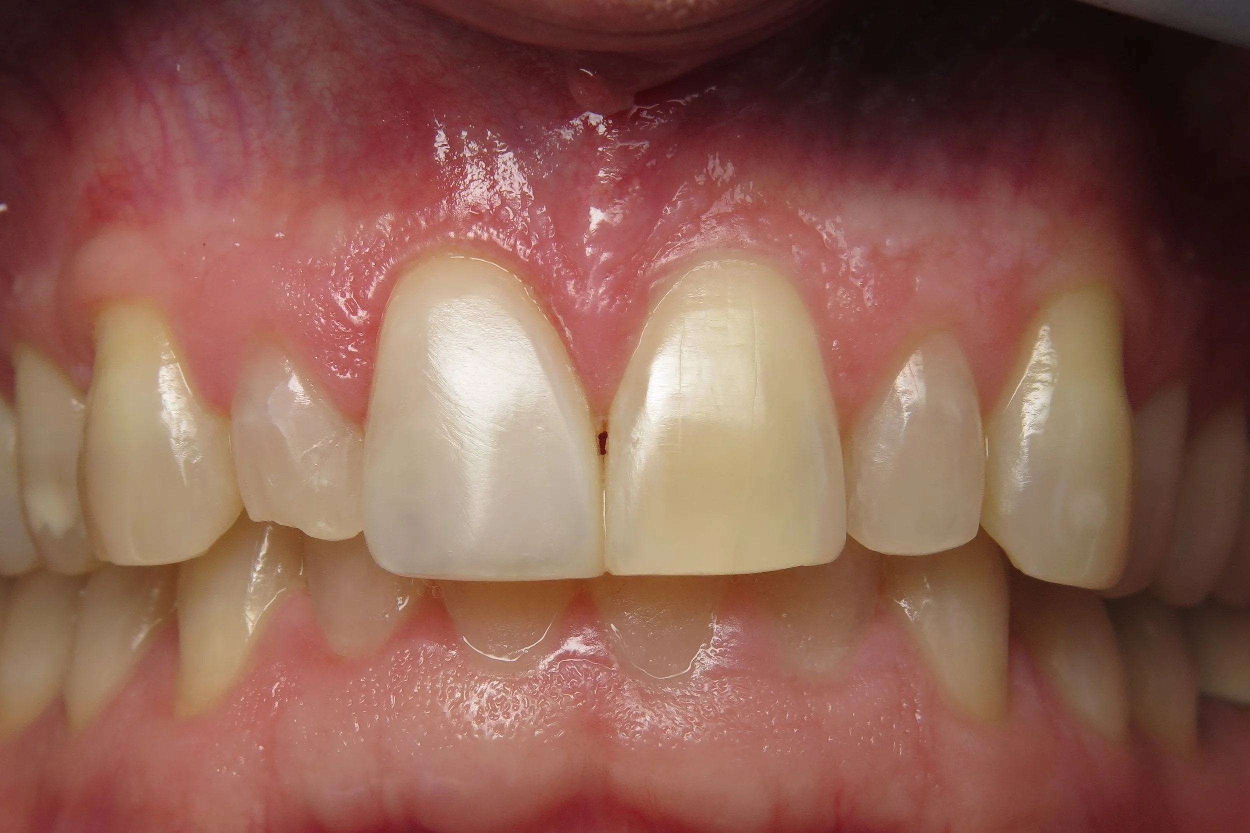
Before

Tooth fractured.

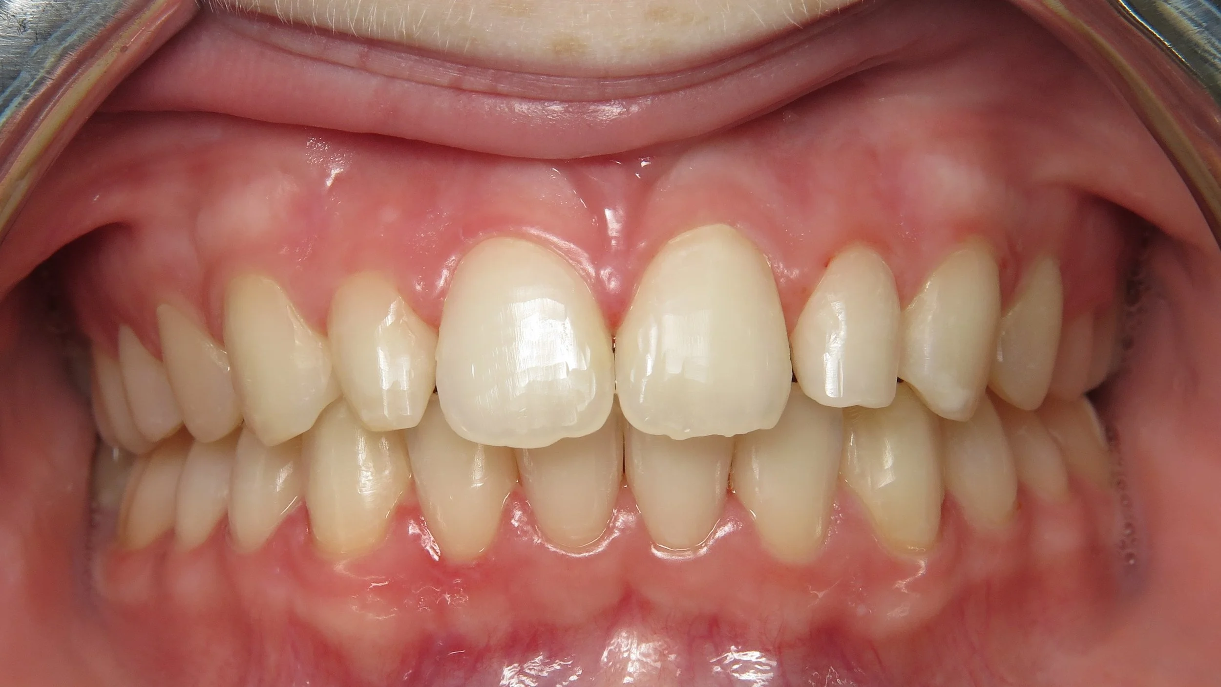
After

No further tooth was removed. Composite veneer.

Before

Short central incisor due to bruxism and supraeruption.

After

Gum surgery and composite veneer.

Before

Was not happy with shape and appearance of front teeth

After

4 custom composite veneers

Before

Peg or small lateral incisors

After

Custom resin veneers with no tooth structure removed

Before

Failing fillings with decay

After

4 custom resin veneers

Before

Misshaped tooth with a poorly done porcelain crown

After

Gum surgery with 1 composite veneer and 1 composite crown